 
	
            Discover your New Smile and Get Instant Smile Simulation in just 30 minutes!
You wear your smile everyday and an attractive smile brings in self confidence and speaks in volumes about your personality. 
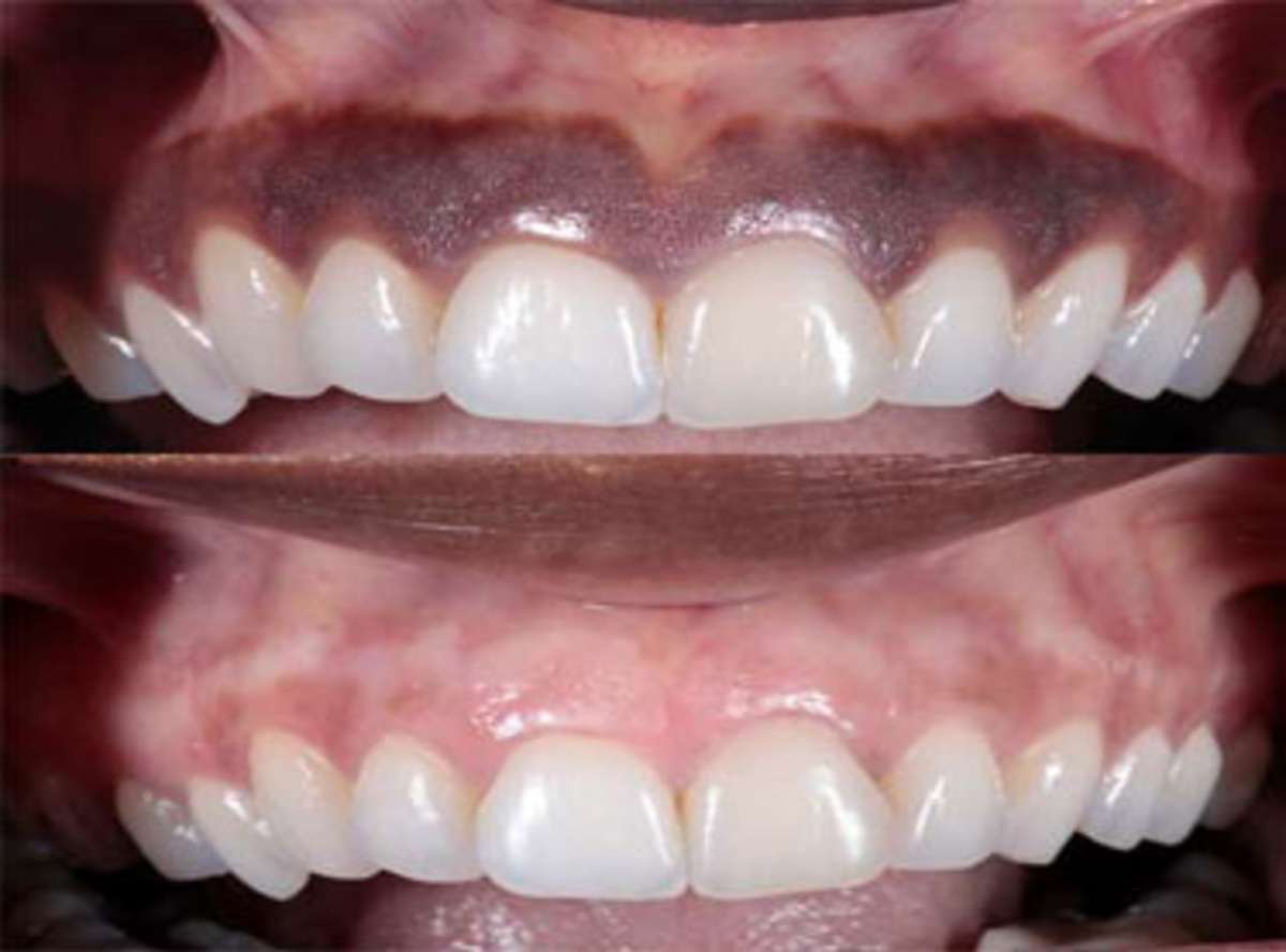
Advanced Cosmetic Dentistry aims at making minimalistic changes to your teeth and gums and bringing in marvelous changes to your smile and face. 
With our 3D Smile Designing Simulation Softwares, our team of Internationally Certified Digital Smile Designers provide you with an instant view of how your smile would look after the procedure. This helps in creating a comprehensive digital blueprint of the desired smile.
Smile designing procedures like Porcelain Veneers, No Prep Veneers, Lumineers, LASER Assisted Teeth Whitening, ZOOM Teeth Whitening, Gummy Smile Treatment, Gum Depigmentation are painless and have a success rate of 99.9% 
With the use of advanced technologies and 3D digital smile designing softwares, Stunning Dentistry provides Lifetime warranties on all cosmetic dentistry procedures.
These procedures help in instantly treating teeth gaps, malaligned teeth, discolored teeth, crooked teeth, gummy smile and create a smile you have always dreamed of.   
               
 
                    
                    
                    
                    
          
          
         We have on board one of the finest dentists of the country who would make sure to provide you with the best in the world of dentistry.
 
                 We care for you and follow International Standards of patient care. We are ISO 9001:2015 certified and strictly abide by WHO Health and Sterilization Guidelines. We have on board the most advanced FDA Approved dental technology.
 
                 Relax in our Dedicated Patient Entertainment Lounge which hosts an Internet TV and Wi-Fi. Whether it is before a procedure or after a treatment we aim to provide you the most comfortable experience.
 
                 We are committed to deliver the best in the world of dentistry. In any case, if you are not satisfied with our work or service, we assure you 100% money back. However, this situation shall never arise as you would be certainly pleased with our work.
 
 
 
 
 
 
 
 
 
 
 
 
 
 
 
 
 
 
 
 
                                             
                                            With so many procedures to consider, it's extremely critical to have a thorough in depth analysis so a customized treatment plan can be carved out for your smile. 
 
Direct Dental Bonding: 
Dental Bonding can repair broken or chipped tooth and may help in closing midline diastema between front teeth without generating the need for traditional orthodontic treatments.
 
Porcelain Veneers: 
Porcelain veneers are thin pieces of zirconia that are used to recreate the natural look of enamel, while also providing extra strength to natural tooth. It helps in altering or completely changing tooth shape, size, and/or color. 
 
Lumineers: 
Just as with porcelain veneers, “no-prep” or Lumineers— so called because they typically don’t require the enamel removal and are bonded precisely. Often, the bonding of lumineers can be done more quickly and with less discomfort than traditional veneers. 
These are customised and designed for each patient, it is nearly impossible to identify the difference between a lumineer/veneer and a natural tooth. 
Lumineers/ Veneers are long lasting, naturally appealing, and create a smile that you would be confident about and would feel proud to share. 
 
Teeth Whitening: 
According to an American Academy of Cosmetic Dentistry survey: 
Virtually all adults (99.7%) believe a smile is an important social asset. 96% of adults believe an attractive smile makes a person more appealing to members of the opposite sex.
Three-quarters (74%) of adults feel an unattractive smile can hurt a person’s chance for career success. 
And when respondents were asked, “What would you like to improve most about your smile?” The most common response was: whiter and brighter teeth. 
If you are not happy with your smile, teeth whitening may be a good first step. 
Professional tooth whitening in a dental office is the preferred whitening method because it can literally brighten up your teeth to about 10 shades in about an hour.
In-office whitening affects only the front eight to ten teeth in the upper and lower jaw and brings in instant results. 
 
	
            We stand in every mean to deliver you the best in the world of dentistry.
Most Advanced dental technology from USA & Germany.
We exceed International hospital grade sterilization standards.
We work in collaboration with the best dental laboratories of the world.
Get 24*7 personalized assistance from your dedicated CRM.
We believe in delivering Top Notch Dentistry at the most affordable pricing.
Experience Elite dentistry at our award winning dental office in India.
We care for you and would be happy to book an Emergency appointment for you. Call Us Now!
Charges for Consultation, Case analysis, Treatment planning with Dr. Priyank Sethi is INR 500.
We value your time and you are important to us. We have a ZERO waiting time.
We understand your fears and apprehensions, and to make you comfortable is our prime objective. We would surely be able to provide you the most comfortable and relaxing dental experience.
 
                Cosmetic dentistry is a very popular field of dentistry and is in great demand. Cosmetic treatment is required because:
» It enhances the smile by correcting the malocclusions or by removing stains.
» It gives a youthful appearance to an individual.
» It helps in boosting the self esteema nd confidence of an individual.
» Helps in maintaining better oral hygiene.
» The smile achieved is completely natural and affordable.
» It helps in improving the quality of life.