A non symptomatic and painless white patch can take a malignant turn in no time. Such is the danger of oral cancer or mouth cancer which can remain in anonymity for a long time until complications of this disease show up.
A slightest white or red patch formation on the inner lining of the oral mucosa, or any other part of the oral cavity shouldn’t be ignored. Early detection can cure this disease with greater efficacy.

With the amount of resources we spend in procuring the best dental technology; keeping them up to date, and monitoring our quality through a series of systems- We Know Our Work is Unmatched! Hence, we have no hesitation in providing Lifetime Warranties over all our dental treatments.
» Oral Cancer screening and diagnosis is the first step towards establishing a treatment plan for this.
» Oral cancer treatment has to be performed on both physical and psychological level.
» There can be multiple reasons for Oral Cancer like excessive consumption of irritants like tobacco, betel nut, smoking etc
» Chemotherapy and Radiation therapy are one of the first line of treatment for oral cancer. The treatment type depends on the cause and extent of the disease.
» Comprehensive cancer screening is required to identify the leading cause of cancer; tobacco, betel nut consumption have been the major cancer-causing agents worldwide. The malignant cells can quickly multiply and spread down the oral cavity to the food tract or other parts of the body. A cancer patient might even lose out on vital parts of the body, such as a vocal box that controls our speech. Newer technologies help us in effectively screening and new medicines like C 225, can facilitate the killing of malignant cells with radiation therapy.
Speak to our Expert
» The most precise and accurate way to confirm a cancerous growth is with biopsy. The tissue is extracted with the most minimally invasive method without damaging the adjacent structures. Confirming oral malignancy at the earliest is crucial in treating oral carcinoma. The earlier we diagnose, the better and successful will be the treatment.
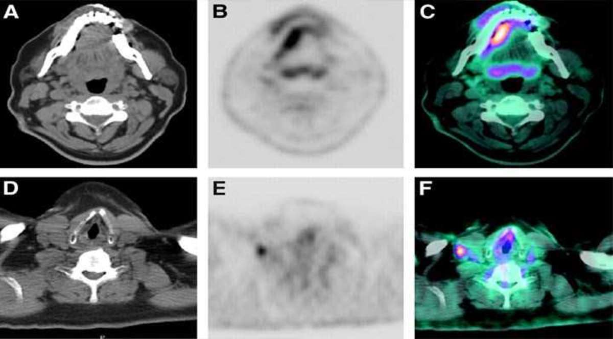
» Extension of the lesion and the spread of cancerous cells are precisely determined through the PET scan. Cancer cells have a tendency to grow rapidly and attack other associated organs. It has to be promptly determined in order to find the hotspots and treat the target specific locations accurately.
We stand in every mean to deliver you the best in the world of dentistry.

- Lara Krumm(Germany)